作者:王艳  齐娟  雷香菊  熊辉

单位:湖北医药学院附属国药东风总医院医学检验科

  

血细胞形态检查作为临床实验室血细胞分析的重要复检手段,被认为是诊断的“金标准”。然而,传统的手工法制片染色存在一定的局限性,包括操作人员技术水平不等和环境因素等影响,可能导致细胞分布不均匀、重叠、破裂以及染色不均匀等问题。这些问题不仅影响检验结果的准确性,也难以实现检验流程标准化,而且手工法还会导致人力成本增加和样本周转时间(TAT)延长。

   

为了解决这些问题,许多厂家开发了AI推片、染色、阅片机。这些设备制作的血涂片相较于手工法具有更高的稳定性,能够减少细胞损伤、提高血细胞形态学检查的准确性,同时提高制片效率,与血细胞形态分析仪的阅片适配度更好[1],因此在实验室中得到了广泛应用。#血细胞

然而,AI推片、染色机制作的血涂片是否就能完全避免干扰呢?实际情况可能并非如此。近期,本科室就遇到一例因全自动推片机问题导致的假性疟原虫现象。这表明,尽管AI在提高效率和准确性方面具有优势,但在实际操作中仍可能遇到特定的技术挑战和局限性。#检验科
  

案例经过


患者男,72岁,因“发热5天”入院,有乏力、头疼、纳差,伴肌肉酸痛,畏冷寒战,自行服用“散列通”片退热治疗,体温有回落,患者仍有发热,最高体温39.5℃,门诊以“发热查因”收入我院。


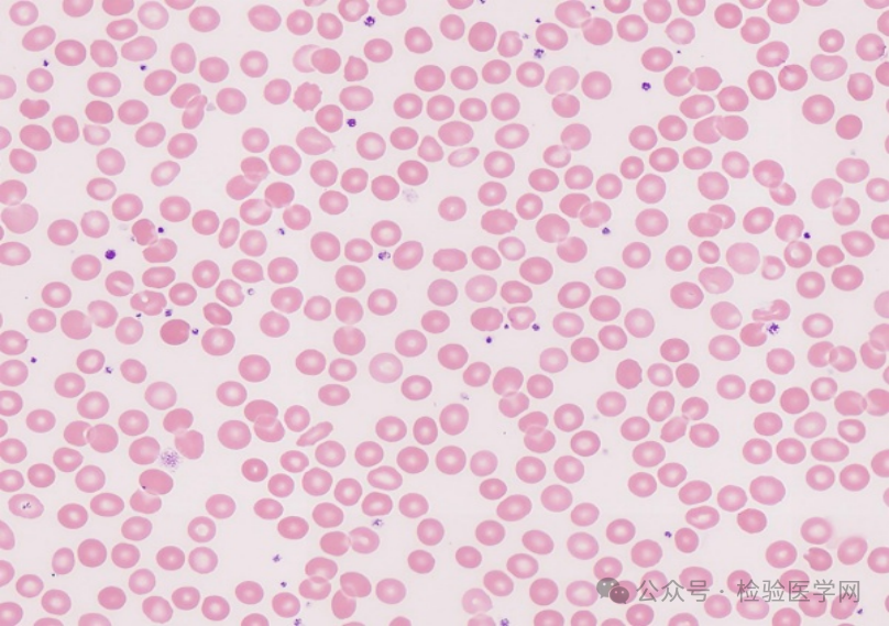
不明原因发热,12月4日血常规检测结果基本正常,该患者的细胞计数结果及散点图基本正常,无任何报告报警信息,如下图所示:
  

图片

  

医生于12月7日又开具了疟原虫检查,于是我们先采用全自动制片机制作薄血膜,在全自动阅片机下的结果如下:

白细胞阅片结果

图片

RBC内异常包含物

图片

单个RBC放大涂片

图片

左右滑动查看更多


如上述图片所示,莫非真是疟原虫感染?

疟原虫在人体内的发育红内期主要侵入RBC,疟原虫裂殖体进行裂体增殖形成小滋养体(环状体)、大滋养体,含成熟裂殖体的红细胞崩解,引起临床发作[2]。

我们发现,该片子RBC内也有许多近似疟原虫环状体和裂殖体样物质,于是立即取出阅片机中的血片进行人工镜检确认。尽管在显微镜下RBC中也存在这种类似疟原虫的情况,但形态并不太符合,且用恶性/间日疟原虫试剂盒(胶体金法)检测,结果为阴性。#检验报告

为了进一步确认,我们同时手工制作了厚、薄血膜染色镜检,显微镜下也均未发现疟原虫。考虑疟原虫感染是地方性传染病,主要流行于热带和亚热带地区[3],为排除是否存在输入性感染[4]的可能,我们联系临床了解到,该患者既无外出国外疫区生活史,其采血时机也符合要求,排除输入性感染可能。

告知临床医生该患者中性粒细胞有中度核左移现象,次日经多学科会诊,考虑颅内感染。在完善腰椎穿刺后,脑脊液检查结果最终支持脑膜炎(细菌+病毒)混合感染。临床予抗病毒、抗感染、抗炎治疗三日后,患者康复出院,悬着的心终于放下了。
  

案例分析


胶体金法阴性,且人工制片镜检未见到任意一种疟原虫形态,AI制片阅片为何会出现这样的情况呢?

为了弄清楚到底是什么原因导致这种假性疟原虫形态的发生,我们回顾性查看了全自动阅片机启用以来的阅片结果,发现近几日AI阅片的RBC内隐约出现类似环状体的现象相对较多。#检验科主任

查阅相关文献,发现影响RBC涂片形态的因素有:玻片不清洁、油脂过多、制片干燥不快、染液配置及染液方法异常等[5]。针对这些影响因素,经过逐一排查,初步将问题点锁定在自动推片机上。

图片


全自动推片机的推染步骤:吸血推片-血膜干燥—开始染色。根据文献提到的影响RBC形态假性改变的因素,联系厂家用户服务,沟通出现这种情况的原因,并进行以下排查:


1、玻片质量:确认使用的是厂家配套合格玻片,排除了玻片质量问题的干扰因素。


2、染液质量及配置:实验室使用配套试剂产品,通过仪器和人工分别推片,排除仪器注入染液量异常,再分别采用机外人工染片,镜检显示RBC形态均无异常,排除了染液质量和配置问题。


3、甲醇预固定和污染:由于仪器选择了非甲醇固定模式,即使在不使用甲醇的情况下,镜检仍然发现RBC形态异常,因此排除了甲醇干扰的可能性。


4、制片干燥问题:降低仪器血膜干燥温度和改善通风条件、模拟自然风干过程,再次使用全自动推片机染色、阅片后,便未发现RBC内有任何类似疟原虫形态的物质出现。


通过反复确认,我们最终考虑:由于自动推染片仪器血膜干燥温度过高,导致制片中RBC形态发生改变,从而出现假性疟原虫形态的结果。

为此,我们采取一系列降低仪器内血膜干燥温度的措施,并在厂家工程师的协助下,为推片染色机加装风扇散热装置,后续AI镜头下便未见红细胞发生上述异常情况,如下图所示。

  

图片

降温后的全自动推染、阅片结果
  

案例总结


随着医疗技术的不断进步,全自动推片染片机和全自动细胞形态阅片仪广泛应用,极大地提高了血液检验的效率和准确性。AI技术不仅能够自动化地处理和分析大量的血液样本,还能够提高对血液中寄生虫的识别能力,这对疟疾等传染病的早期诊断和治疗具有重要意义。但是,我们在使用全自动推片染色及AI阅片的过程中,也应注意以下影响因素:


1、玻片质量问题:不合格的玻片可能会影响血膜的均匀分布,从而引起RBC形态的异常。

2、推片技术不当:若推片操作不规范,可能导致血膜厚度不均一,造成染色不均匀或细胞结构破坏。

3、染色时间控制不当:染色时间过长或过短都可能导致细胞染色不牢固或效果不充分。

4、甲醇纯度不足:甲醇作为固定液,若纯度不够,可能会影响RBC的形态。

5、染液质量不佳:染液质量直接关系到细胞的着色效果,质量不佳的染液可能导致细胞染色不均匀或色泽不正。

6、血膜干燥温度异常:温度过低会使血膜干燥不充分,温度过高可能会引起细胞中血红蛋白变性,导致RBC染色出现异常改变。

7、缓冲液pH值不适宜:缓冲液的酸碱度若未控制在适宜范围内,可能会影响细胞的染色效果,但调整缓冲液的pH后并未减少此类现象发生。
  
专家点评

质量控制:实验室和厂家均应建立严格的质量控制体系,确保仪器、试剂和材料均符合标准、流程规范,以减少形态异常的风险。


技术培训:定期对技术人员进行培训,提高其操作技能和对染色过程中可能出现问题的认识。


问题解决:面对染色中出现的问题,应及时进行原因分析和排查,采取针对性措施进行纠正。


持续改进:鼓励技术人员学习和掌握最新的技术和方法,不断改进染色和阅片的流程,提高检验质量。

  

【参考文献】

[1] 刘贵建.王建中.关明等,人工智能辅助外周血细胞形态学检查的中国专家共识,中华检验医学杂志 2023.03.46.3

[2] 国家传染病医学中心撰写组,李兰娟,张文宏等.疟疾诊疗指南[J].中国寄生虫学与寄生虫病杂志,2022,40(04):419-427

[3] 国家传染病医学中心. 疟疾诊疗指南. 中国热带医学. 2022, 22(8): 695-702

[4] 丰俊,张丽,涂宏,等.从消除到消除后:中国输入性疟疾的疫情特征、挑战及防止再传播策略[J].中国热带医学, 2021, 21(1): 5-10

[5] 张海彪,外周血涂片细胞形态学检验的质量控制,内蒙古医学杂志 Inner Mongolia Med.2016.48.11.055